ニュージーランドの歯科治療は高い、というのは言わずもがな周知の事実ですね。そこで大切になってくるのが、「虫歯にならない口腔環境を作る」=「予防歯科」です。予防歯科で大切な事は、定期的な検診と歯のクリーニングです。大きな治療になればなる程、金額も比例して大きくなってきますから、虫歯を未然に防ぐためにも、この2つは欠かせません。では、実際はどのような事をするのでしょうか?
NZの歯科定期検診の一例
各歯科医院で項目・順序は異なりますが、一般的には次のようなことが歯科定期検診で行われます。
1.歯科医による視診
まず、歯科医が口腔内を見える範囲でチェックします。口腔内がどのような状態か、どのような治療が必要なのか、歯科助手が記録し、コンピューターの歯科専用ソフトに入力します。学生時代の歯科検診を思い出していただければ想像しやすいかと思います。
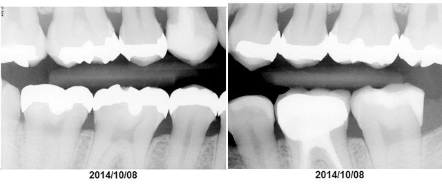
2.レントゲン

英語ではX-rayと呼ぶ方が一般的です。左右1枚ずつのレントゲンを撮ります。歯と歯の間に虫歯や歯石が無いか、歯を支えている骨が痩せていないか、詰め物や銀歯の状態は大丈夫か、などを知ることができます。
3.口腔内写真

高画質カメラで色々な角度から口腔内の写真を撮ります(10枚以上)。その写真を患者さんと一緒に見る事によって、患者さんがより理解しやすくなるのは勿論、記録に残し毎年比べる事で、歯茎が下がっていないか、歯並びに変化がないか、なども知ることができます。パソコン画面で拡大して見る事もでき、口腔癌を早期発見できた、という例もあります。
これらのデータを元に、現在の口腔状況、これからの治療方針について担当歯科医と話をします。場合によっては、エキストラでの検査の必要もあります。
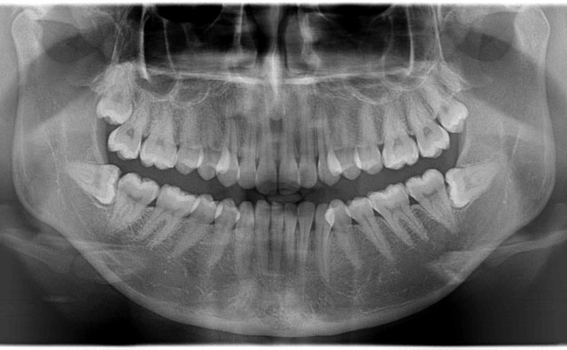
4.パノラマX-ray


パノラマサイズのレントゲンで、全部の歯を撮影することができます。
主に、親知らずの位置や、歯周病の進行状態を知る為、子供の歯の生え換わりの時期には永久歯の状態を知る為に撮ります。
5.レーザーによる虫歯検査

初期の虫歯などはステインと見分けがつきにくいので、レーザーを使って虫歯かどうか検査をし、数値によって虫歯の大きさも知ることができます。
定期的な検診が虫歯予防に繋がります
歯科医による検診は年に1度、歯のクリーニング(歯石除去)は6ヶ月おきが基本です。口腔内の状況によって、担当歯科医/歯科衛生士からアドバイスがあります。
どうでしょう?自分の口腔内について知りたくありませんか?自分に合う歯科医を見つけるのも大切ですが、自分自身で知る事も同じ位大切です。上手に歯科医院と付き合っていきましょう。
◎豆知識◎

現在はレントゲン技術も進んでおり、デジタルX-rayを使用している歯科医院も増えてきました。
従来のフィルム式に比べると、デジタルの場合はそのままパソコンにイメージが送られるので、現像する時間を待つ必要がありません。さらに、放射線被爆量がフィルムの1/4~1/10に抑えられます。飛行機でNZ日本間を移動するよりはるかに被爆量が低いです。




